TABLE OF CONTENT
Dental Cleaning for Gingivitis – Restore Healthy Gums

Don’t let gum inflammation worsen—early dental cleaning for gingivitis removes bacteria and plaque buildup before it leads to serious damage.

Dental Cleaning for Gingivitis – Restore Healthy Gums with Expert Care

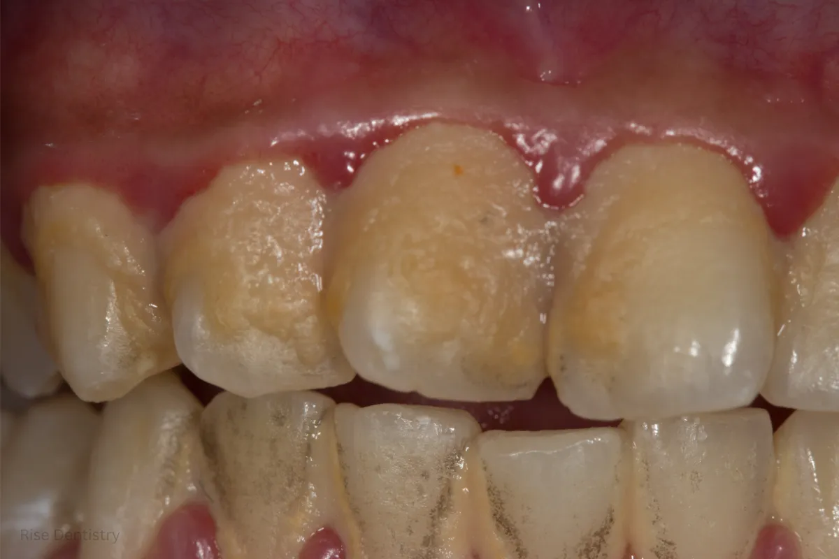
Gingivitis, a common gum condition, causes inflammation, swelling, and bleeding, leading to discomfort and potential long-term damage. A professional dental cleaning for gingivitis effectively removes plaque and bacteria, stopping infection and restoring gum health. This treatment strengthens gums, reducing the risk of further issues like tooth loss.

At Rise Dentistry, our Family Dentistry team specializes in gentle, thorough dental cleaning for gingivitis. With advanced techniques, we ensure your gums and teeth are cleaned while keeping you comfortable throughout the process.

Regular dental cleaning for gingivitis at your trusted dentist in Magnolia is key to preventing future gum problems and maintaining a lasting, healthy smile.

What Is a Gingivitis Cleaning and Why Is It Important?

what is gingivitis cleaning

A gingivitis cleaning is a professional dental cleaning that removes plaque, bacteria, and buildup causing gum inflammation. Unlike a standard cleaning, it reaches below the gum line to treat infection and restore healthy gums. This deep cleaning stops bleeding, swelling, and pain before they turn into serious issues.

A periodontal cleaning is often recommended to prevent periodontal disease. It cleans deep pockets around teeth where harmful deposits hide. By removing bacteria and smoothing tooth surfaces, it allows your gums to heal and stay attached to your teeth.

Ignoring tartar under gum line can lead to infection, bone loss, and even tooth loss. Regular professional cleanings protect your smile and keep your gums healthy for the long term.

what is gingivitis cleaning

Signs You May Need Gum Cleaning at the Dentist

gum cleaning at the dentist

Early gum inflammation often shows subtle signs that shouldn’t be ignored. If you notice any of these, it’s time to visit your dentist for a gum cleaning at the dentist:

Regular care keeps your gums healthy and prevents future complications.

gum cleaning at the dentist

Procedure of Dental Cleaning for Gingivitis – Step-by-Step Process

A deep dental cleaning is a simple, non-surgical gum disease treatment that removes plaque and tartar gingivitis from around the teeth roots. It heals infected gums and prevents future buildup.

Benefits of Choosing Straightening Teeth Options

Your dentist applies a mild anesthetic to numb the area and ensure a smooth, pain-free experience.

Scaling – Removing Plaque and Tartar

During scaling, the dentist removes plaque and hardened deposits from above and below the gum line.

Root Planing – Smoothing Teeth Roots

In periodontal scaling and root planing, the roots are polished to help gums reattach securely and heal faster.

Antibacterial Rinse and Post-Care Tips

An antibacterial rinse clears remaining bacteria, followed by simple home-care advice to maintain clean, healthy gums.

This deep dental cleaning strengthens your gums and restores long-term oral health.

Gingivitis Cleaning vs Regular Cleaning – Understanding the Difference

Knowing the difference between a regular dental cleaning and a gingivitis cleaning helps you choose the right care for your gums.

Aspect Regular Dental Cleaning Gingivitis / Periodontal Cleaning

Purpose

Maintains oral hygiene and removes surface plaque.

Treats gum infection and deep bacteria buildup.

Depth

Cleans visible tooth surfaces.

Cleans visible tooth surfaces.

When Needed

For healthy gums and routine care.

For gum inflammation or early gum disease.

Procedure

Light scaling and polishing.

Involves deeper periodontal cleaning to restore gum health.

Result

Keeps teeth bright and clean.

Reverses gum inflammation and strengthens gums.

If your gums bleed or feel swollen, a gingivitis cleaning offers deeper care and lasting protection.

Benefits of Dental Cleaning for Gingivitis

benefits of dental cleaning for gingivitis

A gingivitis cleaning provides several lasting benefits that protect both your smile and oral health. Regular periodontal cleaning keeps gums strong and disease-free.

benefits of dental cleaning for gingivitis

With consistent gingivitis cleaning, your gums stay healthier, stronger, and free from future dental issues.

Before and After Gingivitis Treatment – What to Expect

Before Treatment

Before care, gums often show gum inflammation, swelling, and bleeding while brushing. Persistent bad breath or a sour taste can signal infection and bacteria buildup under the gums.

After Treatment

The change after gingivitis treatment is visible within days. Gums look pinker, feel firmer, and bleed less. Breath improves as bacteria are removed, and brushing becomes easier and more comfortable.

Maintaining Results

To keep results, follow good oral hygiene daily. Brush, floss, and visit your dentist regularly. Consistent care keeps your gums healthy, strong, and free from future infection.

Gingivitis Cleaning Cost and Treatment Frequency

gingivitis cleaning cost and treatment frequency

The gingivitis cleaning cost depends on your gum health and the level of buildup. On average, it may be slightly higher than a standard cleaning because it targets deeper areas and removes infection-causing bacteria.

Your dentist may recommend periodontal teeth cleaning every three to six months. This schedule prevents bacteria from returning and keeps your gums healthy between visits. Regular cleanings also reduce the risk of inflammation and infection.

Most dental insurance plans cover part of your Dental Cleaning, especially for gum disease treatment. Investing in professional care saves you from future dental problems and maintains a cleaner, healthier smile for years.

gingivitis cleaning cost and treatment frequency

Gingivitis and Tooth Decay – How Deep Cleaning Prevents Future Problems

gingivitis tooth decay

Gingivitis tooth decay begins when plaque and tartar under the gum line trap bacteria that irritate and weaken gums.

Consistent professional cleanings keep your gums healthy, your smile bright, and your mouth free from future infections.

gingivitis tooth decay

How to Maintain Healthy Gums After Dental Cleaning

Keeping your gums healthy after a cleaning is simple and essential for long-term oral health. Follow these easy habits:

Consistent care ensures a healthy smile and stronger gums for life.

FAQs

How often should you get dental cleaning for gingivitis?

A dental cleaning for gingivitis is usually recommended every three to six months. Regular visits prevent infection and keep gums healthy.

Yes. A gingivitis cleaning removes bacteria and plaque buildup, reducing inflammation and stopping gum disease from progressing.

It’s mostly painless. During gum cleaning at the dentist, you may feel mild pressure, but local anesthesia ensures comfort.

Gentle gingivitis cleaning and good home care can safely manage gum inflammation during pregnancy. Always inform your dentist.

With proper care, gums usually heal within one to two weeks after treatment. The gingivitis cleaning cost may vary depending on your gum condition and the depth of cleaning required.

Final Thoughts – Protect Your Smile with Professional Dental Cleaning

gingivitis cleaning

Early dental cleaning for gingivitis is the best way to stop gum problems before they become serious. Regular professional cleanings remove harmful bacteria, prevent tooth loss, and keep your gums healthy for life.

At Rise Dentistry, we focus on gentle, effective care that keeps your smile bright and confident. Our experienced team ensures every Dental Cleaning is comfortable and personalized to your needs.

Schedule your appointment today with Rise Dentistry’s Family Dentistry for expert preventive care and long-lasting gum health. Your smile deserves professional attention and consistent care.

gingivitis cleaning