
Dental bridges are designed to last many years, but they aren’t permanent. Regular checkups at Rise Dentistry ensure longevity. Schedule your consultation today!
A dental bridge is an excellent solution for replacing missing teeth, providing both functional and aesthetic benefits. Many people wonder, “Is a dental bridge permanent?” While dental bridges are designed to last for many years, they are not truly permanent. Over time, factors like wear and tear, changes in your oral health, or even shifting teeth can affect the bridge’s longevity.
Typically, a dental bridge can significantly enhance your smile, restore your ability to chew and speak comfortably, and help maintain proper alignment of surrounding teeth. However, it’s important to note that dental bridges require ongoing care to ensure they remain in good condition.
In this article, we’ll cover the typical lifespan of dental bridges, best practices for proper care, and when it might be time to consider a replacement.
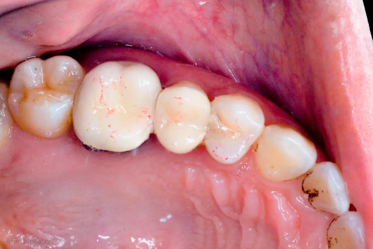
A permanent bridge is a fixed dental appliance designed to replace missing teeth by filling the gap with artificial teeth, called pontic teeth, which are supported by adjacent healthy teeth or dental implants, known as abutment teeth. The pontic fills in the space left by the missing tooth, while the abutment teeth serve as anchors to secure the bridge in place.
This restoration not only restores function but also enhances your smile’s appearance. In Cosmetic Dentistry, dental bridges are often customized to match the shade of your natural teeth, making them blend seamlessly into your mouth. Permanent bridge teeth are designed to look and feel natural, helping improve both your oral health and overall smile.
While permanent dental bridges are designed for durability, they are still not immune to wear and tear over time, which is why maintenance is essential to prolonging their lifespan.
Different types of dental bridges cater to various needs. Let’s explore the most common types and their dental bridge pros and cons:
A traditional dental bridge has crowns on both ends with a pontic in the middle, replacing the missing tooth. It’s used when healthy teeth exist on both sides.
A cantilever bridge has a pontic extending across the gap, supported by only one side of the mouth.
A Maryland bridge uses a metal or porcelain framework to attach to the back of adjacent teeth, typically used for replacing front teeth.
An implant-supported bridge is anchored by dental implants, ideal for multiple missing teeth in a row.
This concise breakdown of dental bridge types will help you choose the right option for your needs, considering the pros and cons of each.
The fixed dental bridge lifespan typically ranges from 5 to 15 years, depending on the type of bridge and how well you care for it. Factors like oral hygiene, diet, and the condition of the abutment teeth play a major role in determining how long the bridge will last. The dental bridge timeline also depends on how well you maintain it and whether you follow the recommended care instructions.
While dental bridges are designed to be durable, it’s important to remember that the materials used, such as porcelain or metal, can wear down over time. Additionally, if you have a temporary bridge tooth in place while waiting for your permanent one, it’s essential to follow your dentist’s care instructions to avoid damaging it.
With proper care, such as maintaining oral health and avoiding harmful habits, you can extend the lifespan of your permanent tooth bridge and continue enjoying its benefits for many years.
When it comes to replacing missing teeth, many people consider either dental bridges or dental implants. Both options have their pros and cons, and the best solution depends on your specific needs.
Dental implants offer a permanent solution by replacing the tooth root and are often preferred for their durability and ability to preserve bone structure. However, they involve surgery and a lengthier recovery time. On the other hand, dental bridges are less invasive and quicker to place, but they do not prevent bone loss in the jaw.
When it comes to bridge tooth replacement, the decision often depends on the number of teeth missing, the health of the surrounding teeth, and your budget. Dental prosthetics, like implants and bridges, both offer effective solutions, but choosing the right one depends on your oral health goals and preferences.
While dental bridges are reliable, they can still encounter problems over time. Some of the most common issues include:
To avoid these problems, it’s essential to follow your dentist’s dental bridge after care instructions, which may include regular cleaning and visits for maintenance. Proper care will help keep your dental bridge functioning well for many years.
To ensure that your permanent tooth bridge lasts as long as possible, follow these essential tips:
By following these maintenance tips, you can help preserve your dental bridge and keep it in place for years to come.
Over time, even the best permanent dental bridge will need to be replaced. Signs that you may need a dental bridge replacement include:
It’s important to schedule regular checkups with your dentist so that they can assess the condition of your fixed dental bridge and recommend when a replacement might be necessary.
On average, a dental bridge can last between 5 to 15 years, depending on oral hygiene and care.
Yes, in many cases, a loose or damaged bridge can be repaired by your dentist without the need for a full replacement.
In most cases, yes. The abutment teeth need to be reshaped to support the bridge. However, implant-supported bridges don’t require altering healthy teeth.
Generally, a dental bridge should be replaced every 5 to 15 years, depending on its condition.
If you're looking for a non-invasive, cost-effective solution for missing teeth, a dental bridge may be the best option. However, if you’re seeking a more permanent solution, dental implants may be a better choice.
In conclusion, dental bridges are a reliable and effective solution for replacing missing teeth. They help restore both the function and appearance of your smile, improving your ability to chew and speak normally. However, it’s important to note that they are not permanent and will eventually need to be replaced.
With proper care and maintenance, such as regular dental checkups and good oral health practices, your permanent dental bridge can last for many years. Keeping your abutment teeth healthy is key to extending the lifespan of your bridge.
Consult with your dentist to determine if a dental bridge or another tooth replacement option, such as implants, is the best choice for your unique needs and oral health goals.
EXCELLENT Based on 209 reviews Posted on Uroosa FatimaTrustindex verifies that the original source of the review is Google. "For years, I avoided the dentist due to my anxiety. Dr. Hassan sorathia and their team completely changed my perspective. The office has such a calming atmosphere, and the staff is compassionate and understanding. They explained every step of my treatment and made sure I was comfortable. I'm so grateful I found them and can now take care of my teeth without fear."Posted on Christopher SmithTrustindex verifies that the original source of the review is Google. Rise was amazing! They extracted a wisdom tooth from me and the experience was completely pain free. Thank you so much!Posted on Bianca DiGulioTrustindex verifies that the original source of the review is Google. I’m so grateful I found Dr. Sorathia and his wonderful staff at Rise Dentistry! From the moment I called, his office was incredibly accommodating and got me in immediately. He was professional, kind, and patient, and he truly understood my dental anxiety. I never felt rushed or pressured and he welcomed all my questions and explained each step of the process so I always knew what was happening. He made sure I understood all of my options, allowing me to make the most informed decision for my care. I left feeling comfortable, informed, and confident about my treatment. I will absolutely be returning to Dr. Sorathia and highly recommend him to anyone looking for a compassionate and thorough dentist.Posted on Gabrielle DivesTrustindex verifies that the original source of the review is Google. I’m so glad I found this office! Staff is so kind and professional. They keep your comfort at the top of their priority list. Wish I had found them sooner! Can’t recommend this dentist enough!Posted on Roohi KhanTrustindex verifies that the original source of the review is Google. Excellent Staff and Dr Sorathia very knowledgeable pleasant ambiance !Posted on George SmithTrustindex verifies that the original source of the review is Google. Had a great experience, no wait time, in and out. Everyone was friendly, informative and professional.Posted on A LTrustindex verifies that the original source of the review is Google. So refreshing to meet an HONEST dentist who isn’t trying to upsell you anything. Just tells you the facts doesn’t try to sway your opinion, just lays out the options based on facts and allows you to choose for yourself what works best for you. I definitely highly recommend!Posted on Donald LowryTrustindex verifies that the original source of the review is Google. Fantastic service! Had a bad tooth that was absolutely killing me for several days. I load going to the dentist so I don’t have a normal one. Set the appointment in the morning and got in that same day. The dentist explained saving versus extracting the tooth and 35 minutes later I was going home. He was extremely thorough and telling me what he was going to do and with the post office instructions. The staff both out front and his assistants were fantastic!! absolutely could not have asked for a better experience and he will be my dentist going forward.