
Curious if wisdom teeth can return after removal? Get the facts and book your dental consultation today for complete peace of mind!
Many people wonder whether wisdom teeth can grow back after they’ve been removed. It’s common to feel pressure or a tooth-like sensation in the back of the mouth, which can cause confusion. Since wisdom teeth are the last molars to develop, changes in that area can sometimes feel like something new is coming in.
The truth is that once a wisdom tooth is completely extracted, it cannot regrow. However, in rare cases, some individuals may develop extra teeth called supernumerary teeth, which can create a similar sensation.
If you’re experiencing discomfort or have concerns, visiting a trusted dentist in Magnolia can help you get clear answers and ensure your mouth is healing properly.
Wisdom tooth are the last teeth to grow in the mouth, usually appearing between ages 17 and 25. They sit at the very back as the third molars. For many people, these teeth erupt normally, but others may face issues if there isn’t enough space in the jaw.
Some people also develop a rare fourth molar tooth, which adds more pressure in the back of the mouth. These extra teeth can crowd nearby teeth and make cleaning difficult.
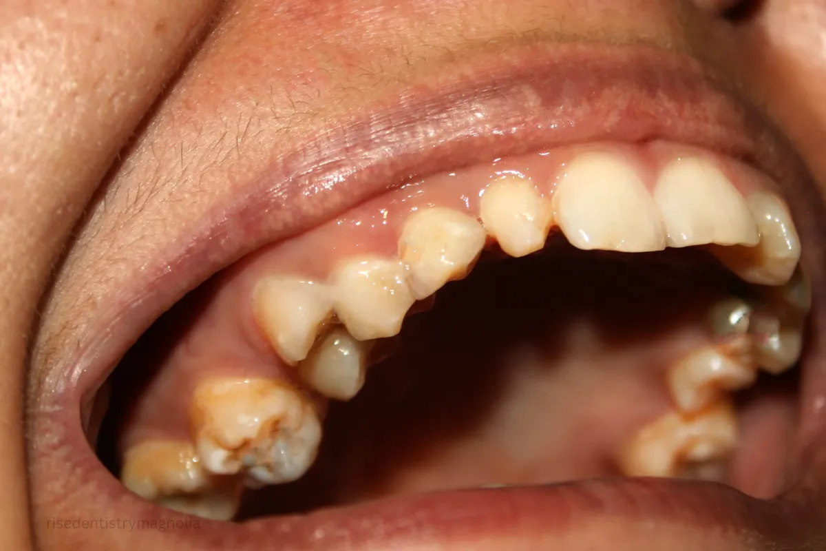
Because wisdom tooth erupt late, they often create problems. They may become an impacted wisdom tooth, which stays trapped in the gums. This can lead to swelling, tooth decay, gum irritation, and even gum disease. Early dental checks help prevent these issues and protect your smile.
Once the tooth and its root are removed, the area heals and no new tooth forms. Many people still feel pressure or movement later, which creates confusion and makes them think they have grown out wisdom teeth.
Some people believe their wisdom tooth are “coming back,” but this sensation often comes from:
These are not new teeth.
A few people develop supernumerary wisdom teeth, also called extra wisdom teeth or double wisdom teeth. These are additional molars that appear later and can mimic the feeling of wisdom tooth returning.
If you ever feel a tooth growing in the back of my mouth, it can be confusing. These sensations usually point to new activity around your molars or pressure caused by limited space. The signs are often easy to notice.
Sometimes these signs appear when the tooth is not erupting normally. An impacted wisdom tooth can stay stuck under the gums and cause gum disease, infection, or crowding.
Symptoms of wisdom teeth growing back may also signal extra teeth forming behind your original molars.
If the pain continues, a dentist should examine the area quickly.
If you feel a tooth growing in the back of your mouth, don’t ignore it. This sensation may come from several causes. Sometimes it is a real extra tooth. Sometimes the feeling is linked to changes in the gum or bone after extraction. In rare cases, a retained root can create pressure or pain.
If the area hurts, swells, or feels tight, get it checked. A quick visit to Rise Dentistry can give you clear answers. Your dentist may take an X-ray to see what is happening under the gum. Early care can prevent bigger issues and protect your smile.
Wisdom tooth pain is common, but some signs mean you need fast dental care. An impacted wisdom tooth can stay trapped under the gums and cause pressure, swelling, or infection. These problems can affect nearby teeth and lead to bigger dental issues.
If you notice any of these symptoms, get checked quickly. Early treatment prevents long-term dental problems and protects the teeth around the area. Rise Dentistry can examine your tooth, take X-rays, and guide you with the right next steps.
Extra or problematic wisdom teeth need timely care to avoid pain and long-term issues. Treatment depends on the condition of the tooth, the gums, and the nearby teeth.
Dentists often extract extra wisdom tooth or unusual molars. This prevents crowding, infection, and pressure on neighboring teeth.
If small root pieces remain after surgery, they may cause pain or swelling. Dentists remove them gently to stop infection.
Infected gums or cysts near the extraction site need quick treatment to protect the jawbone.
Follow proper wisdom tooth extraction recovery steps. Good care supports healthy wisdom teeth removal healing and reduces complications.
Let me know if you want this section expanded, simplified more, or adjusted for Rise Dentistry’s brand voice.
At Rise Dentistry, your comfort and safety come first. Our team uses modern imaging to check your wisdom tooth with clear accuracy. This helps us find extra teeth, impacted teeth, or hidden dental problems early.
Some people need Wisdom Teeth Removal. Others only need regular checkups. We tailor the plan based on your symptoms, jaw space, and long-term oral health.
We make the extraction process smooth. We also guide you through healing so you recover safely at home.
Rise Dentistry is here to support your smile with trusted Family Dentistry care.
True regrowth is not possible. Some people develop extra wisdom teeth, also called supernumerary wisdom tooth, but this is rare.
A second set does not form. Some people have double wisdom teeth, which creates the feeling of new growth.
Eruption happens when the molars push through the gums due to natural development inside the mouth.
Pain linked to swelling, infection, or an impacted wisdom tooth needs quick care.
Fragments do not create new teeth. They may shift and feel like new growth, so a dental check is important.
After a wisdom tooth is fully extracted, it cannot return or regrow. Still, some people may feel new pressure in the back of their mouth. This often happens because of extra wisdom tooth or small root fragments.
These issues can cause pain or swelling if ignored. A quick dental checkup makes the cause clear and removes the worry. Early care also protects your nearby teeth.
If you feel any unusual changes after extraction, visit Rise Dentistry. Our team provides safe exams and expert Wisdom Tooth Removal for your comfort and long-term oral health.
EXCELLENT Based on 209 reviews Posted on Uroosa FatimaTrustindex verifies that the original source of the review is Google. "For years, I avoided the dentist due to my anxiety. Dr. Hassan sorathia and their team completely changed my perspective. The office has such a calming atmosphere, and the staff is compassionate and understanding. They explained every step of my treatment and made sure I was comfortable. I'm so grateful I found them and can now take care of my teeth without fear."Posted on Christopher SmithTrustindex verifies that the original source of the review is Google. Rise was amazing! They extracted a wisdom tooth from me and the experience was completely pain free. Thank you so much!Posted on Bianca DiGulioTrustindex verifies that the original source of the review is Google. I’m so grateful I found Dr. Sorathia and his wonderful staff at Rise Dentistry! From the moment I called, his office was incredibly accommodating and got me in immediately. He was professional, kind, and patient, and he truly understood my dental anxiety. I never felt rushed or pressured and he welcomed all my questions and explained each step of the process so I always knew what was happening. He made sure I understood all of my options, allowing me to make the most informed decision for my care. I left feeling comfortable, informed, and confident about my treatment. I will absolutely be returning to Dr. Sorathia and highly recommend him to anyone looking for a compassionate and thorough dentist.Posted on Gabrielle DivesTrustindex verifies that the original source of the review is Google. I’m so glad I found this office! Staff is so kind and professional. They keep your comfort at the top of their priority list. Wish I had found them sooner! Can’t recommend this dentist enough!Posted on Roohi KhanTrustindex verifies that the original source of the review is Google. Excellent Staff and Dr Sorathia very knowledgeable pleasant ambiance !Posted on George SmithTrustindex verifies that the original source of the review is Google. Had a great experience, no wait time, in and out. Everyone was friendly, informative and professional.Posted on A LTrustindex verifies that the original source of the review is Google. So refreshing to meet an HONEST dentist who isn’t trying to upsell you anything. Just tells you the facts doesn’t try to sway your opinion, just lays out the options based on facts and allows you to choose for yourself what works best for you. I definitely highly recommend!Posted on Donald LowryTrustindex verifies that the original source of the review is Google. Fantastic service! Had a bad tooth that was absolutely killing me for several days. I load going to the dentist so I don’t have a normal one. Set the appointment in the morning and got in that same day. The dentist explained saving versus extracting the tooth and 35 minutes later I was going home. He was extremely thorough and telling me what he was going to do and with the post office instructions. The staff both out front and his assistants were fantastic!! absolutely could not have asked for a better experience and he will be my dentist going forward.