
Find clear pricing, material options, and insurance details in one place. Book your consultation with Rise Dentistry today and plan confidently.
Wondering how much does a tooth crown cost? The cost of a dental crown varies depending on factors such as the material, location, and whether dental insurance covers part of the cost. Porcelain crowns, known for their natural appearance, are typically more expensive, while metal crowns offer a more affordable option.
Other materials, like zirconia crowns or porcelain-fused-to-metal, fall in between in terms of price. Your dental insurance may cover a portion of the cost, making it essential to check your plan to determine out-of-pocket expenses.
For a detailed cost estimate and crown options, consult a dentist in Magnolia to choose the best solution for your smile and budget.
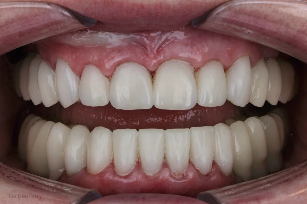
A dental crown is often needed when a tooth is severely damaged, cracked, or decayed. It restores the tooth’s functionality, allowing you to chew and speak comfortably. Crowns also improve the tooth’s appearance, especially for visible teeth.
For example, front crown cost tends to be higher due to the need for materials that blend seamlessly with your natural teeth. Crowns can be crafted from different substances such as porcelain, ceramic, zirconia, and various types of metal alloys. Each material offers different benefits and comes with varying price points.
A permanent crown is typically placed after a temporary crown, providing long-lasting protection and strength to the treated tooth.
The price of a dental crown is influenced by multiple factors.
Porcelain crowns are more expensive than metal options due to their natural appearance. Ceramic and zirconia crowns are also commonly used for their durability and aesthetics.
Crowns in metropolitan areas tend to be more expensive. A highly experienced dentist may charge more, but their work can provide better precision and results.
If the crown is medically necessary, dental insurance may cover about 50% of the cost of a dental crown, especially for restorative purposes like after a root canal.
If additional treatments, like a root canal, are needed before placing the crown, the cost by location and the complexity of the procedure will increase.
Same-day crowns, made using CAD/CAM technology, might cost more as they eliminate the need for temporary crowns and a second visit.
There are several types of crowns, and the price varies depending on the material:
Additionally, the price of dental caps can vary within the ranges listed above depending on the material and dentist.
The average cost of crown tooth generally ranges between $800 to $2,500. However, the price depends on the material used, the location, and the dentist’s expertise. For example:
The typical cost for crown depends largely on the material chosen, with molar crown cost being more affordable with metal crowns compared to other options like porcelain or zirconia.
If you have dental insurance, it can significantly lower your tooth crown cost with insurance. Typically, insurance covers about 50% of the cost of a dental crown, especially when the procedure is medically necessary, such as after a root canal or for repairing a damaged tooth.
However, many insurance plans have annual coverage caps, so it’s important to check your specific plan to fully understand your benefits. It’s also important to note that cosmetic crowns may not be covered. If you’re getting a crown for aesthetic reasons, you might have to pay the full tooth crown price out of pocket.
For better savings, consider dental plans or dental care options that offer discounts or more affordable coverage for dental procedures like crowns.
Dental crowns can be an expensive procedure, but there are ways to save on the cost:
The cost of a dental crown is influenced by several factors, including the material used, the location of the dentist, and whether you have insurance coverage.
Dental crowns can be costly due to the materials used (e.g., porcelain, zirconia) and the labor involved in creating and fitting the crown. Crowns require custom fabrication, which adds to the cost.
Most crowns last between 10 to 15 years, depending on the material and how well you maintain them. The durability of a crown justifies the investment over time.
Yes, many dental offices offer financing options or work with third-party lenders to allow you to pay for your crown over time.
A porcelain crown typically costs between $1,300 and $2,500, while metal crowns may range from $900 to $2,500, depending on the material and location.
A dental crown is a valuable investment in both your oral health and appearance. Whether you’re repairing a cracked tooth, restoring a decayed one, or enhancing your smile, crowns offer long-term benefits. They improve both the functionality and aesthetics of your teeth, especially when opting for a porcelain dental crown.
With the right insurance and financing options, managing the cost of a dental crown becomes more manageable. Depending on your needs, crowns can be a durable solution to prevent future complications. Cosmetic Dentistry offers many options to restore and enhance the beauty of your smile, making dental crowns a great choice for both health and appearance.
If you’re considering a front crown cost or any other crown-related procedures, don’t hesitate to schedule a consultation. At Rise Dentistry, our experts are here to guide you through your options and help you choose the best treatment plan to restore your smile.
EXCELLENT Based on 209 reviews Posted on Uroosa FatimaTrustindex verifies that the original source of the review is Google. "For years, I avoided the dentist due to my anxiety. Dr. Hassan sorathia and their team completely changed my perspective. The office has such a calming atmosphere, and the staff is compassionate and understanding. They explained every step of my treatment and made sure I was comfortable. I'm so grateful I found them and can now take care of my teeth without fear."Posted on Christopher SmithTrustindex verifies that the original source of the review is Google. Rise was amazing! They extracted a wisdom tooth from me and the experience was completely pain free. Thank you so much!Posted on Bianca DiGulioTrustindex verifies that the original source of the review is Google. I’m so grateful I found Dr. Sorathia and his wonderful staff at Rise Dentistry! From the moment I called, his office was incredibly accommodating and got me in immediately. He was professional, kind, and patient, and he truly understood my dental anxiety. I never felt rushed or pressured and he welcomed all my questions and explained each step of the process so I always knew what was happening. He made sure I understood all of my options, allowing me to make the most informed decision for my care. I left feeling comfortable, informed, and confident about my treatment. I will absolutely be returning to Dr. Sorathia and highly recommend him to anyone looking for a compassionate and thorough dentist.Posted on Gabrielle DivesTrustindex verifies that the original source of the review is Google. I’m so glad I found this office! Staff is so kind and professional. They keep your comfort at the top of their priority list. Wish I had found them sooner! Can’t recommend this dentist enough!Posted on Roohi KhanTrustindex verifies that the original source of the review is Google. Excellent Staff and Dr Sorathia very knowledgeable pleasant ambiance !Posted on George SmithTrustindex verifies that the original source of the review is Google. Had a great experience, no wait time, in and out. Everyone was friendly, informative and professional.Posted on A LTrustindex verifies that the original source of the review is Google. So refreshing to meet an HONEST dentist who isn’t trying to upsell you anything. Just tells you the facts doesn’t try to sway your opinion, just lays out the options based on facts and allows you to choose for yourself what works best for you. I definitely highly recommend!Posted on Donald LowryTrustindex verifies that the original source of the review is Google. Fantastic service! Had a bad tooth that was absolutely killing me for several days. I load going to the dentist so I don’t have a normal one. Set the appointment in the morning and got in that same day. The dentist explained saving versus extracting the tooth and 35 minutes later I was going home. He was extremely thorough and telling me what he was going to do and with the post office instructions. The staff both out front and his assistants were fantastic!! absolutely could not have asked for a better experience and he will be my dentist going forward.